Bajo el sombrero presenta una capa de tubos de hasta 1 cm de grosor, fuertemente escotados junto al pie, casi libres, que terminan en poros, al principio, redondeados y blancos, como los tubos, pero en la madurez pasan a amarillentos por las esporas y enrojecen ligeramente al rozamiento.
Sección transversal de una porción de himenio donde se aprecia una estructura o trama interna regular formada por hifas filamentosas paralelas y no muy apretadas que dan esa textura esponjosa a los tubos y que hacia su interior dan lugar a estructuras diferenciadas, basidios y basidiolos.
La parte interna o trama de las láminas está constituida por hifas filamentosas con células muy alargadas y por tanto con pocos tabiques, la mayor parte desprovistos de fíbulas, muy regulares, dispuestas de manera paralela.
En el borde o arista de los tubos las hifas terminan dando lugar a
estructuras diferenciadas estériles que no producen esporas, muy poco
diferentes del resto de estructuras son pelos de arista y cuya función estaría
relacionada con la dispersión de las esporas que caen de las paredes de los
tubos así como con la retención de humedad ambiental.
Estos pelos son células estériles cortas y claviformes o casi esféricas.
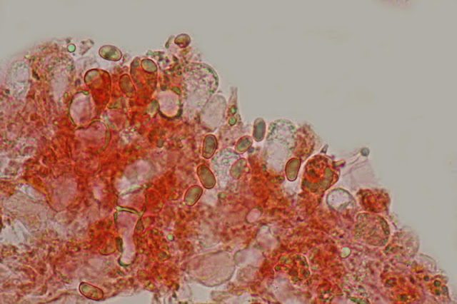
Las hifas más superficiales de las paredes de los tubos dan lugar a células que emergen perpendicularmente a la superficie, las caras, más o menos claviformes o cilíndricas que son los basidiolos y los basidios.
Los primeros son cilíndricos o un poco claviformes y los basidios claviformes, más gruesos y que se tiñen más intensamente con el rojo Congo, presentan en su mayor parte solo dos gruesos esterigmatos, basidios bispóricos, en cuya extremidad se producen las esporas.
De
manera dispersa y más escasa en nuestras observaciones también aparecen
basidios tetraspóricos con cuatro cortos esterigmatos.
Las
esporas son elipsoidales, de paredes lisas, amarillentas o casi incoloras en
agua, en nuestras muestras en agua de, 6.5 [7.5 ; 7.9] 8.9 × 4.4 [4.9 ; 5.1]
5.5 micras.
La parte interna o trama
del sombrero presenta una estructura entremezclada, con hifas similares a las superficiales
pero totalmente desprovistas de pigmentos, dispuestas de manera entremezclada lo
que hace que la carne del sombrero sea compacta y consistente.
Las hifas más superficiales que forman la cutícula del sombrero son filamentosas, entremezcladas, presentan terminaciones levantadas, con células terminales fusiformes o cilíndricas, apuntadas y con pigmento intracelular marrón responsable de la coloración del sombrero, tipo tricodérmica.
Detalle de las células terminales de las hifas de la cutícula, con pigmento marrón intracelular y tabiques provistos de abultamientos o fíbulas.
En
algunas células el pigmento se vuelve granular.
En sección transversal de la capa superficial del pie se aprecia, a la izquierda de la foto, la parte más externa, más fuertemente coloreada y con terminaciones de hifas salientes que le dan ese aspecto afelpado. Hacia la derecha de la foto la parte interna con hifas entremezcladas cada vez más desprovistas de pigmento hacia el interior.
La
cutícula del pie está formada por hifas entremezcladas que forman una capa
densa, con pigmento intracelular y terminaciones emergentes que le dan esa
textura afelpada.
























